

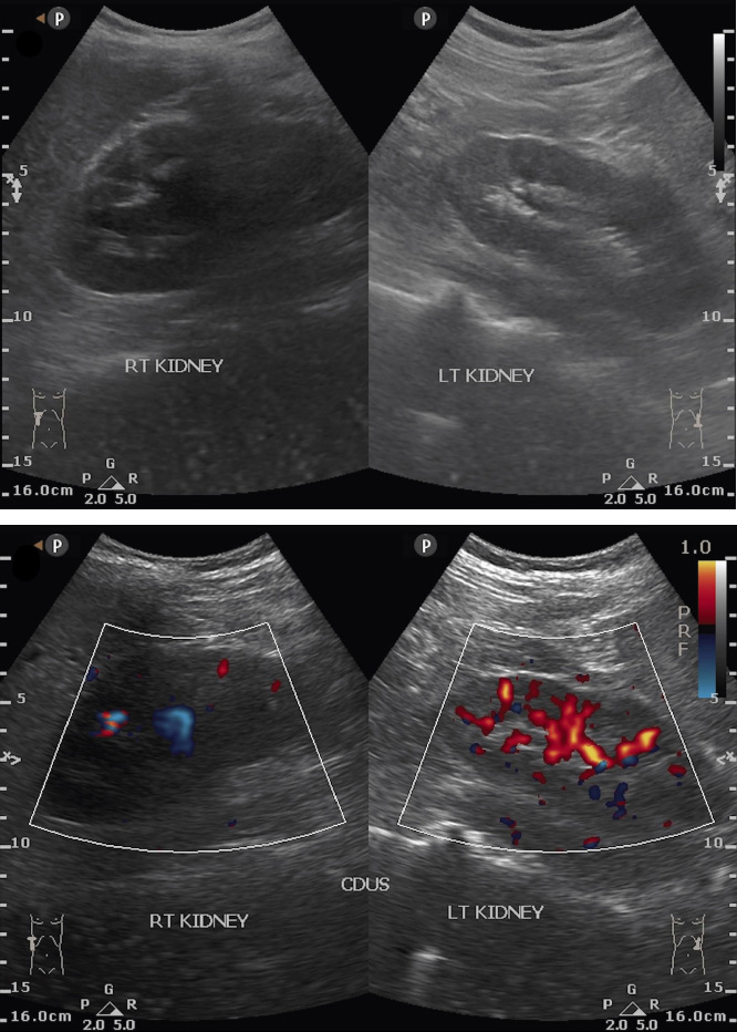
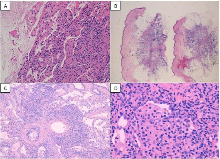
Hilda Adelina, Hartono Yudi Sarastika, Ardhi Tripriyanggara and Andreas Aryo Bayu Seto Open Urology and Nephrology, Volume: 18 (2025): e1874303X416720 [Electronic Publication Date: September 12, 2025] |
|
Mohammed Aboud, Manal Kadhim, Shaimaa M. Kadhim and Mustafa Radif Open Urology and Nephrology, Volume: 18 (2025): e1874303X408497 [Electronic Publication Date: August 13, 2025] |
Sumit Arora, Divya Singh, Kuldeep Ashta, N. Kisenjang, Charu Mohan, Anirudh Anilkumar and Nishant Raman The Open AIDS Journal, Volume: 19 (2025): e18746136382073 [Electronic Publication Date: August 11, 2025] |
|
Maryam Ahadi, Bahareh Baghchi, Vahideh Yousefvand and Peyman Astaraki The Open Biochemistry Journal, Volume: 19 (2025): e1874091X257181 [Electronic Publication Date: July 29, 2025] |
Tahani Jaser Alahmadi, Amjad Rehman Khan, Haider Ali, Bayan Al-Ghofaily, Amirah Alghanim and Noor Ayesha The Open Biomedical Engineering Journal, Volume: 19 (2025): e18741207333407 [Electronic Publication Date: July 22, 2025] |
Nurlybay Kosdauletov, Bakyt Suleimen and Galymzhan Adilov The Open Chemical Engineering Journal, Volume: 19 (2025): e18741231398815 [Electronic Publication Date: July 8, 2025] |
Shailesh Bhosekar, Prabhishek Singh, Deepak Garg, Vinayakumar Ravi and Manoj Diwakar The Open Bioinformatics Journal, Volume: 18 (2025): e18750362370697 [Electronic Publication Date: July 4, 2025] |
Reham M. Alsamman, Thikra O. Alsharif, Raed A. Alghamdi, Mai Almarzouki, Madawi A. Alhabib and Afnan A. Nassar The Open Dentistry Journal, Volume: 19 (2025): e18742106385973 [Electronic Publication Date: July 2, 2025] |
|
Dinh Ha Tran, Trong Dai Tran, Tien Dung Nguyen, Xuan Vu Nguyen, Xuan Binh Ngo, Duong Van Doan, Anh Tuan Tran, Thi Phuong Anh Dang, Thi Thao La, Van Tinh Nguyen, Minh Nguyen, Van Hung Hoang and Van Hien La The Open Agriculture Journal, Volume: 19 (2025): e18743312506171 [Electronic Publication Date: July 1, 2025] |
Muteb Algharbi, Hatem D. Alshammari, Sameer Shaikh, Abdulrahman Alshammari, Faris O. Alotaibi, Haitham A. Alraddadi, Mohammed A. Alqarni, Ebtsam Aledaili and Ammar Ahmed Siddiqui The Open Dentistry Journal, Volume: 19 (2025): e18742106393885 [Electronic Publication Date: July 1, 2025] |
Budeebazar Avid, Navchtsetseg Nergui, Peter Kuznetsov, Ludmila Kuznetsova, Namkhainorov Jargalsaikhan, Gandandorj Shiirav, Azzaya Tumendelger, Eugeny Kamensky and Purevsuren Barnasan The Open Chemical Engineering Journal, Volume: 19 (2025): e18741231396224 [Electronic Publication Date: June 30, 2025] |
|
Elih Sayuti, Avi Laviana, Ida Ayu Evangelina, Deni Sumantri Latif, Christine Natalia Manurung and Endah Mardiati The Open Dentistry Journal, Volume: 19 (2025): e18742106387759 [Electronic Publication Date: June 27, 2025] |
Maher S. Hajjaj The Open Dentistry Journal, Volume: 19 (2025): e18742106391468 [Electronic Publication Date: June 27, 2025] |
Yuki Kaneko, Tomohiro Fukui The Open Biomedical Engineering Journal, Volume: 19 (2025): e18741207387261 [Electronic Publication Date: June 25, 2025] |
|
Treesa P. Varghese, Rohit Singh and Sharad Chand The Open Biomarkers Journal , Volume: 15 (2025): e18753183394103 [Electronic Publication Date: June 25, 2025] |
Nada Tawfig Hashim, Muhammed Mustahsen Rahman, Md Sofiqul Islam, Shadi El Bahra, Sivan Padma Priya, Pooja Shivappa, Riham Mohammed, Hassan Khalifa Nayef, Manar Salah Talib, Sadiah Fathima, Nurain Mohammad Hisham, Aya Chaik and Nallan CSK Chaitanya The Open Dentistry Journal, Volume: 19 (2025): e18742106387652 [Electronic Publication Date: June 25, 2025] |
Tejashree Khamkar, Rushikesh Kadam, Sachin S. Mali, Babaso Udugade and Sudarshan Singh The Open Medicinal Chemistry Journal, Volume: 19 (2025): e18741045372896 [Electronic Publication Date: June 25, 2025] |
Megha Gupta, Satya Prakash The Open Construction & Building Technology Journal, Volume: 19 (2025): e18748368389322 [Electronic Publication Date: June 24, 2025] |
Bahoz H. Majeed, Mustafa M. Alsultan and Zhala D. Omar The Open Dentistry Journal, Volume: 19 (2025): e18742106386858 [Electronic Publication Date: June 23, 2025] |
Al-Hassan Diab, Mihad Ibrahim, Amal Ahmed Mohamed, Omnia Esmail, Mahmoud Mohammed Metwally, Ahmed Raslan Mahmoud Alwan, Mohammad Abd Elhameed Ahmed Alwaseef, Ahmed Abdelhameed Abozeed, Rehab Elhusseini Mohamed Elwakeel, Abbas Abbas, Heba H. El-Osaily, Ayat G. Ali, Hanan Hegazy, Rasha Salama, Sherief Abd-Elsalam and Karima Nasraldin The Open Biomarkers Journal , Volume: 15 (2025): e18753183381834 [Electronic Publication Date: June 20, 2025] |
Shahinaz N. Sembawa, Sara W. Taher, Abdulelah N. Bin Samman, Omar M. Barakat, Sulaiman K. Sairafi, Rami M. Mujallid and Abdullah A. Marghalani The Open Dentistry Journal, Volume: 19 (2025): e18742106378490 [Electronic Publication Date: June 20, 2025] |
ShinHi Han, Hee Sun Kang, Koun Eum, Kathleen Karsten and Faith Armstrong The Open Nursing Journal, Volume: 19 (2025): e18744346390089 [Electronic Publication Date: June 19, 2025] |
Vie Cheong Thong, Nicholas Tze Ping Pang, Assis Kamu, Noor Melissa Nor Hadi, Helen Benedict Lasimbang and Chong Mun Ho The Open Psychology Journal, Volume: 18 (2025): e18743501400689 [Electronic Publication Date: June 18, 2025] |
|
Julian Kraja, Lediana Xhakollari, Maranaj Marku and Edra Fresku The Open Nursing Journal, Volume: 19 (2025): e18744346400359 [Electronic Publication Date: June 17, 2025] |
Stéphane Morin Pépin and Adel Francis The Open Civil Engineering Journal, Volume: 19 (2025): e18741495375592 [Electronic Publication Date: June 13, 2025] |
Ahmed A. Madfa, Ibrahim K. Al-Ibrahim, Anfal H. Alotaibi and Alanoud S. Alshammari The Open Dentistry Journal, Volume: 19 (2025): e18742106270845 [Electronic Publication Date: June 12, 2025] |
Teguh Lesmana, Krishervina Rani Lidiawati, Rijanto Purbojo and Sandra Yu Rueger The Open Psychology Journal, Volume: 18 (2025): e18743501390560 [Electronic Publication Date: June 12, 2025] |
Saeed Ullah Khattak, Muhammad Salim, Sajjad Ahmad, Norah Abdullah Albekairi, Abdulrahman Mohammed Alshammari and Dong-Qing Wei The Open Biotechnology Journal, Volume: 19 (2025): e18740707381303 [Electronic Publication Date: June 11, 2025] |
Juana P Sánchez-Villamil, Maria Alejandra Manosalva, Daniel Llamosa, José Miguel Montero, David Alejandro Morales, Adriana Lucia Cristancho, Homero Fernando Pastrana Rendon, Miroslaw Tyrka and Julian Paul Martinez Galán The Open Biotechnology Journal, Volume: 19 (2025): e18740707379051 [Electronic Publication Date: June 10, 2025] |
Benso Sulijaya, Aurelle Khadeeja Rizany, Herlis Rahdewati, Valdy Hartono, Yoga Setiadharma, Melinda Rabekka Purba and Mardikacandra Manggala Putra The Open Dentistry Journal, Volume: 19 (2025): e18742106382734 [Electronic Publication Date: June 10, 2025] |
Hakan Erinç and Onur Utku Tarım The Open Chemical Engineering Journal, Volume: 19 (2025): e18741231399160 [Electronic Publication Date: June 5, 2025] |
Efficacy of Three Mouthwashes on Candida albicans in Patients with Denture Stomatitis: In Vivo Study Sara Zaky Mohamed, Najlaa Saadi Ismael, Dinesh Rokaya, Wafaa Yahia Alghonemy, Eman A. Tawfik and Gamal Abdel Nasser Atia The Open Dentistry Journal, Volume: 19 (2025): e18742106376765 [Electronic Publication Date: June 5, 2025] |
Assessment of Performance between Different Wildland Firefighter Crews for a Modified Pack Hike Test Justin DeMoss, Kevin A. Valenzuela, Kurt A. Escobar and Schick Evan The Open Sports Sciences Journal, Volume: 18 (2025): e1875399X376825 [Electronic Publication Date: June 2, 2025] |
Ranti Kamila Habibie and Ritmaleni The Open Bioinformatics Journal, Volume: 18 (2025): e18750362383003 [Electronic Publication Date: June 2, 2025] |
Ali Mohammed Ali Rasheed, Mohammed A Al-labani, Ramy Abdul Rahman Ishaq, Thanoon Abdo Baggash, Hani Shamsan Ali A. Al-Zazai and Mohammed M. Al Moaleem The Open Dentistry Journal, Volume: 19 (2025): e18742106376066 [Electronic Publication Date: June 2, 2025] |
Meivi Meivi, Felita Clarissa Halim, Anggun Alfreda Devina, Sri Lelyati C. Masulili, Robert Lessang, Adityo Widaryono and Benso Sulijaya The Open Dentistry Journal, Volume: 19 (2025): e18742106372408 [Electronic Publication Date: June 2, 2025] |
Jonathan Harris, Laila Abdel Wareth, Mary Aljie Ponciano, John Tote and Cipriano Mayor The Open Nursing Journal, Volume: 19 (2025): e18744346378124 [Electronic Publication Date: June 2, 2025] |
Amira A.R. Moawad and Sally H. Abo Baker The Open Dentistry Journal, Volume: 19 (2025): e18742106387910 [Electronic Publication Date: May 26, 2025] |
|
Dittachai Chankuna and Thitipong Sukdee The Open Sports Sciences Journal, Volume: 18 (2025): e1875399X378003 [Electronic Publication Date: May 19, 2025] |
Sarah C. Galway, Deanna Buchmayer and Kimberley L. Gammage The Open Psychology Journal, Volume: 18 (2025): e18743501385720 [Electronic Publication Date: May 16, 2025] |
Nicole Samaha, Rabih Assaf and Nadine Zalaket The Open Psychology Journal, Volume: 18 (2025): e18743501377094 [Electronic Publication Date: May 15, 2025] |
|
Chaisak Dumrikarnlert, Thitaree Yongprawat and Phatha Bumrungna The Open Neurology Journal, Volume: 19 (2025): e1874205X374552 [Electronic Publication Date: May 15, 2025] |
Ramya Kundayi Ravi, Athar Javeth, Vimala Edwin, Priyalatha Muthu and Sivan Padma Priya The Open Environmental Research Journal, Volume: 18 (2025): e18742130376608 [Electronic Publication Date: May 15, 2025] |
Khaled R. Beshtawi, Sally Bazzar and Mahmoud F. Abu-Ta’a The Open Dentistry Journal, Volume: 19 (2025): e18742106382852 [Electronic Publication Date: May 15, 2025] |
|
Jock Clarnette, Meenalochani Shunmugam, Pouria Rezaian and James McLean The Open Orthopaedics Journal, Volume: 19 (2025): e18743250367501 [Electronic Publication Date: May 13, 2025] |
Lam Nguyen Le, Tran Thao Lu, Thao Thi Do and Khanh Phuong Vu Le The Open Dentistry Journal, Volume: 19 (2025): e18742106376297 [Electronic Publication Date: May 12, 2025] |
Ali Adel, Eham Ali and Ban Hameed The Open Medicinal Chemistry Journal, Volume: 19 (2025): e18741045381568 [Electronic Publication Date: May 9, 2025] |
Maria Trapali and Vasiliki Lagouri The Open Medicinal Chemistry Journal, Volume: 19 (2025): e18741045375825 [Electronic Publication Date: May 8, 2025] |
|
Nuha Mohamed Fath Elrahaman Muhjoub, Yazan Gammoh and Bahiga Abdalla Elawad Abdalla The Open Ophthalmology Journal, Volume: 19 (2025): e18743641355493 [Electronic Publication Date: May 8, 2025] |
Nguyen Tien Dung, Ann Nguyen, Nguyen Nhu Lam, Phan Thi Dung, Nguyen Khanh An and Nguyen Thu Huong The Open Nursing Journal, Volume: 19 (2025): e18744346394285 [Electronic Publication Date: May 6, 2025] |
|
Animesh Ghimire and Yunjing Qiu The Open Nursing Journal, Volume: 19 (2025): e18744346391002 [Electronic Publication Date: May 6, 2025] |
Shritam Das, Gurudutta Dash, Minaketan Barik, Nadeem Aziz Hussain, Tahziba Hussain, Bhawna Gupta and Sanghamitra Pati The Open Biomarkers Journal , Volume: 15 (2025): e18753183364166 [Electronic Publication Date: May 5, 2025] |
Seonghui Kang, Chung-il Joung and Mihye Kwon The Open Rheumatology Journal, Volume: 19 (2025): e18743129378698 [Electronic Publication Date: May 5, 2025] |
|
Pantelis T. Nikolaidis and Beat Knechtle The Open Sports Sciences Journal, Volume: 18 (2025): e1875399X385578 [Electronic Publication Date: May 5, 2025] |
Purwati Purwati, Indah Novita Sari, Rohmawan Adi Pratama, Filda Khoirun Nikmah and Bagas Gumintang The Open Psychology Journal, Volume: 18 (2025): e18743501383616 [Electronic Publication Date: May 5, 2025] |
Ahlam Alzahrani, Mohammed K. Alghamdi, Amjad S. Alghamdi and Sadeen T. Shahbar The Open Dermatology Journal, Volume: 19 (2025): e18743722384358 [Electronic Publication Date: May 5, 2025] |
Mysa Abdo Ali Noman, Nabeel Al-Yateem, Jacqueline Maria Dias and Fatma Refaat Ahmed The Open Nursing Journal, Volume: 19 (2025): e18744346392633 [Electronic Publication Date: May 2, 2025] |
Sachidananda Adiga, Anil Kishore Banubadi and Sampara Vasishta The Open Biomedical Engineering Journal, Volume: 19 (2025): e18741207369739 [Electronic Publication Date: May 2, 2025] |
Ali Hassoon, Farid Ezanee Mohamed Ghazali, Tareq A. Khaleel, Ahmed Hadi and Mundher M. Alsamarraie The Open Civil Engineering Journal, Volume: 19 (2025): e18741495398469 [Electronic Publication Date: April 30, 2025] |
Soraya Isfandiary Iskandar, Dessy Arrie Hertanto, Samsu Aryanto and Bayu Satria Wiratama The Open Public Health Journal, Volume: 18 (2025): e18749445391790 [Electronic Publication Date: April 30, 2025] |
Abigail S. Castro, Alvin G. Domingo, Jayon F. Cariaga, Francis A. Gamboa, Aira Cassandra S. Castro, Aira Nadine Q. Pascua, Jimmbeth Zenila P. Fabia, Peter James Icalia Gann, Bjorn S. Santos and Shirley C. Agrupis The Open Biotechnology Journal, Volume: 19 (2025): e18740707370638 [Electronic Publication Date: April 30, 2025] |
Nadim Sleman and Ali Khalil The Open Dentistry Journal, Volume: 19 (2025): e18742106378790 [Electronic Publication Date: April 29, 2025] |
Fernando Siregar, Dewi Larasati and Aswin Indraprastha The Open Construction & Building Technology Journal, Volume: 19 (2025): e18748368388018 [Electronic Publication Date: April 29, 2025] |
Sri Wahyuni Kartika Sari, Taufik and Eny Purwandari The Open Psychology Journal, Volume: 18 (2025): e18743501366061 [Electronic Publication Date: April 28, 2025] |
Anwar M. Alhashem, Shaqraa O. Alrasheed, Taghreed M. Alaidarous, Nojood Y. Motashesh, Fay A. Alshammari and Uzma Zaidi The Open Psychology Journal, Volume: 18 (2025): e18743501380298 [Electronic Publication Date: April 28, 2025] |
Sara Esseffar, Said Bellahcen, Ghizlane Azizi, Hamza Ngadi and Abdelmajid Moumen The Open Public Health Journal, Volume: 18 (2025): e18749445384009 [Electronic Publication Date: April 28, 2025] |
Theodoros Kyriazos and Mary Poga The Open Bioinformatics Journal, Volume: 18 (2025): e18750362380098 [Electronic Publication Date: April 25, 2025] |
Isti Ilmiati Fujiati, Rina Amelia, Yetty Machrina, and Iman Helmi Effendi The Open Public Health Journal, Volume: 18 (2025): e18749445391827 [Electronic Publication Date: April 24, 2025] |
Maria Trapali, Vasileios Pavlidis and Petros Karkalousos The Open Medicinal Chemistry Journal, Volume: 19 (2025): e18741045373435 [Electronic Publication Date: April 24, 2025] |
Viktoria V. Kolesnikova, Victoria Yu. Korchinskaya, Oleg S. Nikonov, Vladimir V. Andreitsev, Phat T Do and Ekaterina Yu. Nikonova The Open Biotechnology Journal, Volume: 19 (2025): e18740707373184 [Electronic Publication Date: April 24, 2025] |
Tanika Tingsa, Chalermchai Chaikittiporn and Surangrat Pongpan The Open Public Health Journal, Volume: 18 (2025): e18749445392995 [Electronic Publication Date: April 23, 2025] |
|
Mosa A Shubayr , Mohammed M Al Moaleem, Alkhansa Ahmed Moafa, Asma Ali Alfaifi, Lamis Mohammed Hawthan, Ahmed M. Bokhari, Anwar Shawqi Alhazmi, Khalid K Alshamrani, Afrah H. Hattan, Alla T Alsharif and Nassreen H. Albar The Open Dentistry Journal, Volume: 19 (2025): e18742106371419 [Electronic Publication Date: April 23, 2025] |
A Comprehensive Study on Dentogingival Dimensions in the Maxillary Anterior Region with CBCT Imaging Lam Nguyen Le, Loc Truong Tan, Anh The Thien Dang, Duc Tuan Tran and Trinh Thi Ngoc Nguyen The Open Dentistry Journal, Volume: 19 (2025): e18742106377293 [Electronic Publication Date: April 23, 2025] |
Emre Saygın, Adem Gök and Tahsin Yamak The Open Environmental Research Journal, Volume: 18 (2025): e18742130356943 [Electronic Publication Date: April 21, 2025] |
Mohammad Yousef Memar, Sina Mehdizadeh, Simin Sharifi and Solmaz Maleki Dizaj The Open Dentistry Journal, Volume: 19 (2025): e18742106376577 [Electronic Publication Date: April 21, 2025] |
Hizir Sofyan, Gelbi Ardesfira, Zurnila Marli Kesuma, Marzuki Marzuki, Sri Andala, Liza Wahyuni and Marthoenis Marthoenis The Open Public Health Journal, Volume: 18 (2025): e18749445383991 [Electronic Publication Date: April 21, 2025] |
Samir Al-Zgul, Vasilina Tyurina, Anton Chepurnenko and Vladimir Akopyan The Open Civil Engineering Journal, Volume: 19 (2025): e18741495387193 [Electronic Publication Date: April 21, 2025] |
Omair M. Bukhari, Shahad L. Alhassani, Sumayyah L. Alkhudhayri, Mariam R. Alharbi, Reem J. Alahmadi, Osama A. Alharbi, Ahmed M. Balkhoyor and Amin A. Marghalani The Open Dentistry Journal, Volume: 19 (2025): e18742106375371 [Electronic Publication Date: April 18, 2025] |
Hema Malini, Yanti Puspita Sari, Chung-Ying Lin and Rika Sarfika The Open Nursing Journal, Volume: 19 (2025): e18744346372674 [Electronic Publication Date: April 18, 2025] |
Dimitrios Nalmpantis and Evangelia Beli The Open Transportation Journal, Volume: 19 (2025): e26671212381793 [Electronic Publication Date: April 18, 2025] |
Benedetto Barabino, Lorenzo Raccagni and Roberto Ventura The Open Transportation Journal, Volume: 19 (2025): e26671212383074 [Electronic Publication Date: April 17, 2025] |
Mastalgia in Fibrocystic Changes; From the Diagnosis Bench to Innovative Therapy: A Narrative Review Wassan Nori, Muna Abdul Ghani Zghair, Shaymaa Khalid Abdulqader and Reia Jaber The Open Medicinal Chemistry Journal, Volume: 19 (2025): e18741045371715 [Electronic Publication Date: April 16, 2025] |
Anber Ancel Tanaka, Bárbara Stadler, Thelma Larocca Skare, Annelise Correa Bueno Bragatto and Betina Werner The Open Rheumatology Journal, Volume: 19 (2025): e18743129378703 [Electronic Publication Date: April 16, 2025] |
Amal Aldarwesh, Hessa Alnafisa and Mohammed Alturki The Open Ophthalmology Journal, Volume: 19 (2025): e18743641357803 [Electronic Publication Date: April 16, 2025] |
Izadmehr Ahmadinejad, Kimia Ghanbari Mardasi, Yasmina Ahmadinejad, Mohammad Saeed Kahrizi, Ali Soltanian and Mojtaba Ahmadinejad The Open Public Health Journal, Volume: 18 (2025): e18749445381695 [Electronic Publication Date: April 16, 2025] |
|
Abrar Tounsi The Open Dentistry Journal, Volume: 19 (2025): e18742106376867 [Electronic Publication Date: April 15, 2025] |
|
Tshiamo Matlapeng, Faeez Aref Miya, Tandolwethu Mfundisi, Makhaya Malema and Kelello Moeketse The Open Public Health Journal, Volume: 18 (2025): e18749445376523 [Electronic Publication Date: April 15, 2025] |
Hee Jun Choi and Hyeon Ju Kim The Open Psychology Journal, Volume: 18 (2025): e18743501392390 [Electronic Publication Date: April 14, 2025] |
Oscar Kwaku Adukpo, Joseph Bremang Tandoh and Matjele Moipone The Open Environmental Research Journal, Volume: 18 (2025): e18742130367870 [Electronic Publication Date: April 14, 2025] |
Aleyna Ozliyen and Saliha Cetinyokus The Open Chemical Engineering Journal, Volume: 19 (2025): e18741231368015 [Electronic Publication Date: April 14, 2025] |
Sandy Chaaban, Yehya Temsah and Mohamad Darwiche The Open Civil Engineering Journal, Volume: 19 (2025): e18741495379555 [Electronic Publication Date: April 14, 2025] |
Ni Made Nopita Wati, Putu Intan Daryaswanti, Ni Luh Putu Thrisna Dewi, Anak Agung Sri Sanjiwani, Ni Luh Putu Dewi Puspawati, I. Nyoman Dharma Wisnawa and Yupin Aungsuroch The Open Nursing Journal, Volume: 19 (2025): e18744346375377 [Electronic Publication Date: April 11, 2025] |
Felipe Dutra, Carlos Alejandro Diaz Schery, Rodrigo Goyannes Gusmão Caiado, Marcello Congro, Eduardo Thadeu Corseuil and Antonio Márcio Tavares Thomé The Open Construction & Building Technology Journal, Volume: 19 (2025): e18748368379847 [Electronic Publication Date: April 11, 2025] |
|
Seyed Ahmad Seyed Alinaghi, Masoud Jafarinasab, Zohreh Rostam Afshar, Pegah Mirzapour, Soheil Dehghani, Esmaeil Mehraeen, Mohammad Mahdi Roozbahani, Abbas Boosiraz, Behnam Farhoudi and Shayesteh Jahanfar The Open AIDS Journal, Volume: 19 (2025): e18746136362268 [Electronic Publication Date: April 10, 2025] |
Ahmed Oubaasri, Fatima Zahra El Mskini, Asmae Labyad, Aicha Madkour, Slimane Mehdad and Souad Benaich The Open Public Health Journal, Volume: 18 (2025): e18749445386757 [Electronic Publication Date: April 10, 2025] |
Govindaraj Saravanan, Parasuraman Pavadai, Stalin Arulsamy, Natarajan Kiruthiga, Krishnan Suresh Kumar, S. Dhinesh Kumar, A. Abarnadevika and Aiyalu Rajasekaran The Open Medicinal Chemistry Journal, Volume: 19 (2025): e18741045373865 [Electronic Publication Date: April 9, 2025] |
|
Rabi Yunusa, Marwa Abdallah, Danladi Abubakar, Ismail Tukur, Najaatu Yuguda, Muhammad Shitu, Adelakun Muyideen, Ania Tureczek, Ifie Onajite, David Mukasa and Patience Jaman The Open Public Health Journal, Volume: 18 (2025): e18749445377474 [Electronic Publication Date: April 9, 2025] |
Saud Aljohani and Abdulaziz Mohammed AlShehri The Open Ophthalmology Journal, Volume: 19 (2025): e18743641373555 [Electronic Publication Date: April 8, 2025] |
Mohammad Gholipour, Abbas Dadashzadeh, Faranak Jabarzadeh and Parvin Sarbakhsh The Open Nursing Journal, Volume: 19 (2025): e18744346378311 [Electronic Publication Date: April 8, 2025] |
Chen Chen, Hue San Kuay and Yee Cheng Kueh The Open Psychology Journal, Volume: 18 (2025): e18743501350374 [Electronic Publication Date: April 8, 2025] |